novinky
Příspěvky
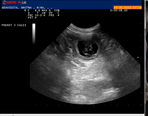
březost potvrzena, z Emuláka bude mamina!!
1. 7. 2012
V pátek nám sonograf potvrdil březost - čekáme minimálně šest malých šedivých kuliček!!!! všem tlučou srdíčka, vše je v naprostém pořádku. Držte nám pěsti a sledujte zážitky novopečené maminy na www.crazeforgrey.com !
Memoriál Václava Vančury CACT I. cena
14. 5. 2012
Poslušně hlásíme, že se nám na včerejším pražském Memoriálu náramně dobře zadařilo!

ako dobre nám bolo na jesennej Rusave
5. 5. 2012
Dřely jsme jako fretky, slunko do nás pralo, nohy bahnem řádně obaleny byly i alkoholem hrdlo řádně prolito jest, ale my si to všechno náramně užívaly! Sešla se prima parta, s některými byla švanda velká, s nekterými ještě větší, čarodejnice upáleny i zapity do poslední molekuly, Zuzka řádně oslavena i se svou novou Zuzkou a my vám z toho všeho přinášíme pikantní fotodokumentaci od všech obětavých fotících fotografů, kterýmžto tímto ze srdce děkume.
©2012 Miroslav Varga (http://www.a-weim.com/)
co nového u Emodelky
16. 4. 2012
Po dlouhé zimě a tréninkovém klidu jsme se opět vrhly až po uši do práce, vytasily zajky z mrazáku, namasírovaly svaly a začaly maximálně užívat prvních jarních dní.. Zůčastnily jsme se prvního kola coursingového závodu Medlánecký sysel i Hanáckého poháru, pilně výletujeme s rakamády a příští týden vyrážíme makat na Rusavu, kde bychom se rády připravily na první lovecké memoriály a po nich nám snad konečně vyjdou ty zatrolené všestranky :) .
©2012 Petr Drábek
Zprávy z bedny
16. 4. 2012
Slavnostně oznamujeme že naše Rychlonožka Obecná alias "Stříbrný vítr" se v sobotu překonala a v coursingovém závodě Hanácký pohár vyběhala krásné stříbrné druhé místo!
reportáž ze závodu, stejně tak jako fotky i výsledkovou listinu naleznete tutom









